Our Portofolio

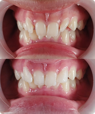
Behel

Behel

Bleaching

Bleaching

Gigi Tiruan

Gigi Tiruan

Scaling

Scaling

Tambal Gigi

Tambal Gigi

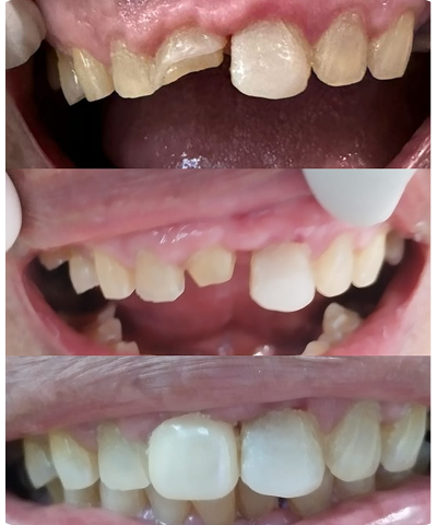
Veneer

Veneer